症例・治療報告
2026.04.15
葛西院
整形外科
ネコの中足足骨折
※手術画像の掲載に関するご注意
本記事には、治療内容を正確に解説するため、手術中の患部写真を掲載しております。血液や切開を伴う画像が含まれますので、苦手な方は閲覧にご注意ください。
【患者様情報】
2歳、サイベリアン、6.3kg、去勢済み
【主訴】
ラックから落ちてから左後肢を痛がってびっこをひいている。
【X線検査所見】

第2,3,4,5,中足骨骨幹部の横骨折とそれに伴う軟部組織の腫脹が認められる。
【中足骨骨折の治療】
中足骨骨折の治療は大きく分けて保存治療と外科治療に分けられます。保存治療は第3,4中足骨に骨折がない場合に適応されます。その場合ギプスの装着により損傷していない骨が添木として働くため外科的な介入がなくても治癒することが多いです。
外科治療は第3,4中足骨が骨折している場合に適応されます。第3,4中足骨で骨折がある場合、ギプスなどの単純な外副肢固定を行うと癒合遅延、変形癒合、癒合不全の原因となります。骨折の外科的整復は基本的には髄内ピンで実施されます。ただし長斜骨折やらせん骨折、大型犬での骨折などではラグスクリューや骨プレートによる整復が適応になる場合もあります。
【術中写真】

皮膚・筋膜を切開し骨折片を確認・遊離

各骨折片をキルシュナーワイヤーを用いて整復


定法に従い閉創
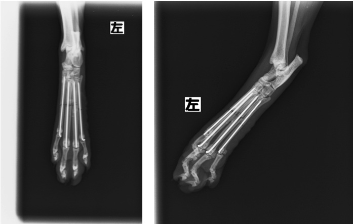
【術後レントゲン写真】

各骨折片は良好に整復されている
【術後管理】
術後は骨折部に体重がかからないように型取りした副肢を1週間おきに巻き直し、2週間後に抜糸致します。副肢は巻き直しの際に軟部組織や関節の可動域のチェック、X線検査でインプラントのチェックをしながら8週間程維持致します。
【予後】
術後すぐより足を使う仕草が認められ、定期チェック時のX線検査ではインプラントのルーズニングや骨折片の変位は認められず良好な予後が予想される。
- 担当獣医師 森亮磨 担当スタッフ 江副裕香