症例・治療報告
葛西院
整形外科
イヌの膝蓋骨内方脱臼
※手術画像の掲載に関するご注意
本記事には、治療内容を正確に解説するため、手術中の患部写真を掲載しております。血液や切開を伴う画像が含まれますので、苦手な方は閲覧にご注意ください。
患者様情報
11歳1か月、トイ・プードル、2.66kg、去勢済み
主訴
左後肢のびっこ(跛行)
膝蓋骨とは
膝蓋骨は太ももの筋肉(大腿四頭筋)の力をまとめて脛の骨(脛骨)に伝達する際に、摩擦抵抗を軽減するなど膝関節の伸展機能に重要な働きをしています。
膝蓋骨内包脱臼の原因・症状
膝蓋骨脱臼の小型犬の82%が発育期に脱臼が生じており、脱臼は98%が内方脱臼で、外方脱臼は2%との報告があります。原因としては、先天的な脱臼や、後天的に滑車溝が浅い、膝蓋靭帯の付着脛骨綾の位置、大腿四頭筋の異常、外傷性などが挙げられます。症状としては、回転運動後や歩行開始直後などにみられる間欠的な跛行や挙上、脱臼時に負重ができず腰が下がる様子などが見られることがあります。
膝蓋骨内包脱臼は放置すると前十字靭帯断裂や関節炎、膝蓋骨が擦れることによりびらん・潰瘍を形成することがあり、これらは自然に治癒することはなく、一生涯の痛みにつながる場合もあります。
膝蓋骨内包脱臼の診断
膝蓋骨内方脱臼に診断は主に触診とX線検査によって行います。
1.触診
まず、視診や歩様検査を行います。次に、平常時における脱臼の有無や方向を確認し、Singleton分類という方法でグレードを評価します。加えて骨格変形や前十字靭帯断裂の併発の有無も確認します。
GradeⅢ以降またはGradeⅡでも症状がある場合は外科的な治療が適応になる場合が多いです。
| Singleton分類 | 説明 |
| GradeⅠ | 徒手により脱臼させることが可能であるが、手を離すと再び整復される |
| GradeⅡ | 自発的に脱臼を認め、膝関節の屈曲伸展により整復され、徒手で膝蓋骨を押すと容易に脱臼および整復が可能 |
| GradeⅢ | 恒久的に脱臼していて、徒手にて整復可能であるが、手を離すと再度脱臼を引き起こす |
| GradeⅣ | 恒久的に脱臼し、徒手による整復は不可能なもの |
2.X線検査
X線画像を撮影し、脱臼方向の確認や大腿骨と脛骨の骨格変形の有無、変形性膝関節症及び前十字靭帯断裂の併発の有無を確認します。
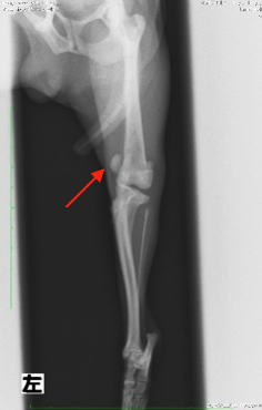
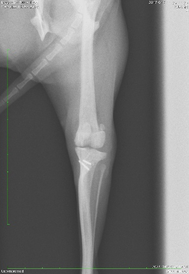
本症例の術前X線検査所見


本症例は触診と合わせ、膝蓋骨内包脱臼GradeⅡ:症状ありと診断致しました。
膝蓋骨内方脱臼の治療
膝蓋骨内方脱臼の治療は大きく分けて保存療法と外科治療に分けられます。
保存治療は、Gradeが軽く臨床症状が無い場合や手術が行えない場合に適応となり、運動制限や減量、生活環境の改善を行います。また、NSAIDsなどの痛み止めを1~2週間程度処方し安静にします。
外科治療は臨床症状が持続する場合、膝蓋骨脱臼による跛行が重度な場合、成長期で徐々に脱臼頻度が増している場合、膝関節の可動域制限が生じている場合などに適応となります。外科療法は、軟部組織に操作を行う軟部組織への手技と骨組織の操作を行う手技があります。これらは、単一の方法では、術後に再脱臼を生じることが多いため、複数の方法を組み合わせて行います。
膝蓋骨内方脱臼の外科治療
軟部組織の操作として、内側広筋と縫工筋前部の開放、内側支帯開放術、外側支帯強化術などが挙げられます。
骨組織の操作として、滑車溝形成術、脛骨粗面転移術、脛骨内制動術、大腿骨や脛骨の変形強制骨切り術などが挙げられます。
組み合わせとして、脛骨粗面転移術、関節包縫合術、滑車溝形成術の組み合わせが最も臨床成績が良いといわれており、術後の再脱臼率は11.6%と報告されています。脛骨粗面転移術を行わない場合は、行った場合に比べて5.11倍再脱臼の可能性が高まるとの報告があり、当院ではほぼ全例で脛骨粗面転移術を併用しています。
膝蓋骨内方脱臼の術中写真
滑車溝造溝術

膝蓋骨の安定性を得るために、滑車溝を造溝した所です。滑車溝を削り取ってしまうだけの造溝の場合、骨の構造が硝子軟骨から線維軟骨に置き換わり治癒することはなくなってしまいますので当院ではトンネル法という本来の滑車部分を傷付けず、内部を掘り上から本来の滑車部分を落とし込むことで溝を深くする術式を採用しています。こちらの術式の場合削り取るだけの術式より手技は難しくなりますがより自然に近い形で滑車を残すことができます。
これにより膝蓋骨が滑車から脱線しにくくなります。
関節包縫合術

膝蓋骨が脱臼することにより緩んだ関節包の一部をメッツェンバーム剪刀で切除し、脱臼する前の状態に近づけます。これにより膝蓋骨が内側に緩みにくくなります。
内側支帯開放術

内側支帯筋の一部である縫工筋前部と内側広筋を関節包から分離し大腿直筋に縫合しています。これにより膝蓋骨を内側に引っ張る力が緩和されます。
脛骨粗面転移術


膝蓋靭帯の付着部である脛骨粗面を膝蓋骨が内側に脱線しない為にやや外側にずらします。この際脛骨粗面は全て切り落とすのではなく2mmほど脛骨につけたままに致します。
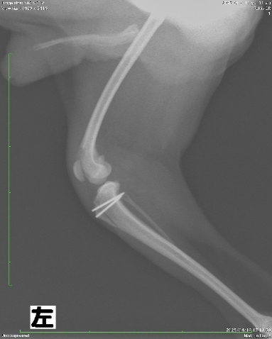
術後X線写真


膝蓋骨脱臼は正常な位置に整復されており、使用したインプラントの位置も適切であると判断致しました。
術後管理
術後は3日ほど制動と術後の浮腫を軽減するために包帯にて保護します。その後は2ヶ月ほど運動制限をかけ、骨折線の癒合を待ちます。
予後
膝蓋骨脱臼の整復手術が良好に行われた場合、運動機能の改善が望むことができます。膝蓋骨や大腿骨滑車の軟骨損傷が著しい場合には、関節炎へ移行する場合もあるので注意が必要な症例もいますが、本症例の場合術中に軟骨損傷の所見はなく、術後も早期より患肢の使用が見られ跛行もなくなった事より良好な予後が期待されます。
- 担当獣医師 森亮磨、鈴木聖弥 担当スタッフ 江副裕香